093-761-2493
症例紹介
CASES
HOME
はじめての方へ
医院案内
院長・スタッフ紹介
アクセス
お問い合わせ
診療案内
虫歯治療
歯周病治療
審美歯科
成人矯正
小児歯科・小児矯正
インプラント・入れ歯・移植
口腔外科
訪問診療
よくあるご質問
症例紹介
トピックス
お知らせ
院長ブログ
学会・セミナー報告
採用情報
TEL
CONTACT
ACCESS
MENU
HOME
はじめての方へ
医院案内
院長・スタッフ紹介
アクセス
お問い合わせ
診療案内
虫歯治療
歯周病治療
審美歯科
成人矯正
小児歯科・小児矯正
インプラント・入れ歯・移植
口腔外科
訪問診療
症例紹介
トピックス
お知らせ
院長ブログ
学会・セミナー
採用情報
093-761-2493
診療時間
月
火
水
木
金
土
日・祝
9:00〜13:00
●
●
●
●
●
●
/
14:30〜18:00
●
●
/
●
●
/
/
駐車場14台設置
HOME
症例紹介
予防歯科・予防について
予防歯科:歯科衛生士によるクリーニング
カテゴリー:
ALL
インプラント
予防歯科・予防について
入れ歯
口腔外科
審美歯科
小児歯科・小児矯正
成人矯正
歯の移植
歯周病
歯茎の移植
2015.08.15
予防歯科・予防について
歯周病
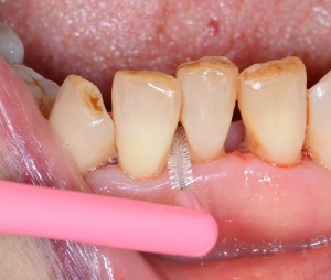
予防歯科:歯科衛生士によるクリーニング
クリーニング前の写真と衛生士によるクリーニング後の写真です。
歯間ブラシなどで歯と歯の間の汚れを丁寧に落としていきます。
ALL